Menu
down white prominent blue circle arrow down white prominent blue arrow

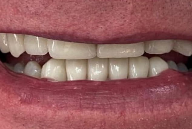
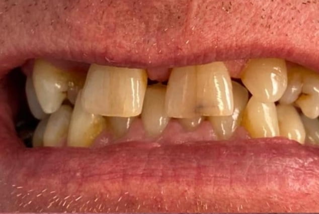
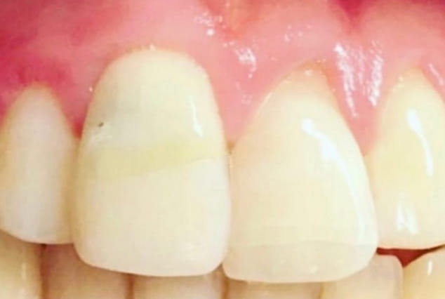
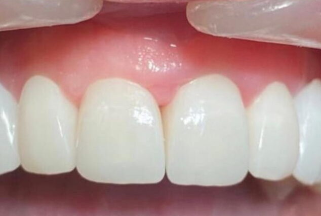
Orthodontic treatment can make a significant difference to both the appearance and function of your smile.

At Khan Dental, we provide patient-focused orthodontic care in Liverpool designed to help straighten teeth, improve bite issues, and support long-term oral health in a calm and reassuring environment.

What Is Orthodontics?

Orthodontics focuses on aligning teeth and correcting how the upper and lower jaws fit together. Many patients associate orthodontics with braces, but modern treatment options now include clear aligners and discreet appliances that are easier to fit into everyday life.

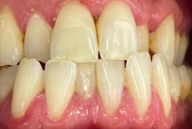
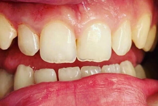
Orthodontics can help with overcrowding, gaps between teeth, bite concerns such as overbite or underbite, and teeth that are rotated or misaligned. Treatment not only enhances appearance but also supports better oral hygiene, as straighter teeth are often easier to clean.

For more information regarding this treatment
Call Us 0151 724 1888 OR Contact Us right white prominent blue arrow right prominent blue white arrow OR Book Online right white prominent blue arrow right prominent blue white arrow

Get in touch

Invisalign®

Benefits and Who It’s Suitable For

Orthodontic treatment may be suitable for adults, teenagers, and in some cases, children, depending on dental development. Patients in Liverpool often seek orthodontics to:

    Khan Dental
    texture rectangle thumb

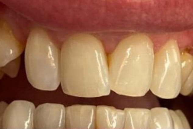
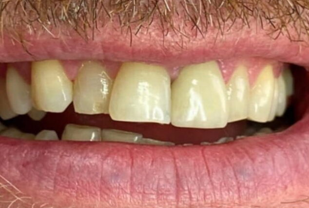
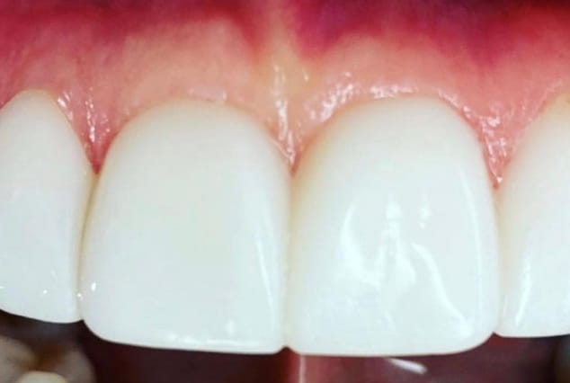
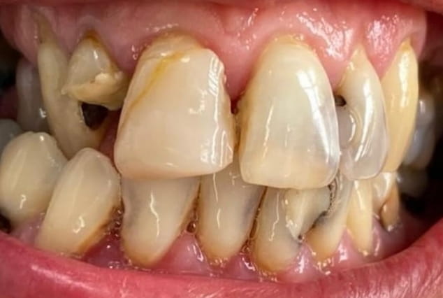
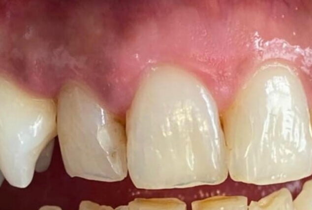
    The Orthodontic Treatment Process

    At Khan Dental, patients can expect a clear and supportive journey:

    Khan Dental
    texture rectangle thumb

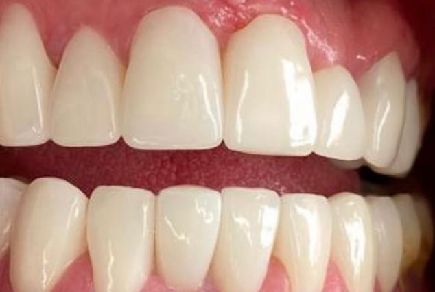
    Aftercare and Next Steps

    Orthodontic aftercare focuses on keeping your teeth clean, attending your reviews, and wearing retainers as advised. Your dentist at Khan Dental will provide tailored guidance for brushing, diet, and appliance care.

    If you’re considering Orthodontics in Liverpool, we’re here to help you explore the options that suit your needs. Book an appointment today to begin your journey towards a straighter, healthier smile.

    Smiles transformed, stories shared

    We’re proud to be a trusted part of our patients’ oral health journeys. Explore their testimonials to see how we’re creating positive dental experiences – one smile at a time.

    Mr Khan is a excellent dentist, very experienced. He seen me as an emergency for toothache and provided advice and treatment. All the staff are kind and friendly. I would fully recommend Mr Khan and his team.

    Author Image

    Emily N.

    Patient

    star prominent blue plain icon

    Excellent service. Rang up with an infected tooth before I was even a patient. Thankfully I was given a place at the practice and had it extracted within the week. The practice itself is clean and comfortable with relaxing videos and audio playing to help those who might be anxious. Best dentist I’ve been to.

    Author Image

    Jake

    Patient

    star prominent blue plain icon

    A really professional and welcoming dentist. The team is friendly, the atmosphere is relaxed and they’re great with children – patient, calm and reassuring. Every visit feels well organised and we always feel well looked after. A lovely practice overall.

    Author Image

    Lisa H.

    Patient

    star prominent blue plain icon

    Excellent, friendly helpful service!! All the staff are great and dr khan is brilliant. So glad to have a good local dentist

    Author Image

    Michael

    Patient

    star prominent blue plain icon

    So professional start to finish, couldn’t recommend him highly enough. Great service and great advice regarding my treatments!

    Author Image

    Patient

    star prominent blue plain icon

    Dr Khan has been great from Start to finish. He is very professional and knowledgeable. I am very happy with my final result. Thank you Dr khan.

    Author Image

    Patient

    star prominent blue plain icon

    Best thing I have had done getting porcelain crowns.

    Author Image

    Patient

    star prominent blue plain icon

    Best dentist, recommended to friends, easy to talk to.

    Author Image

    Patient

    star prominent blue plain icon

    You are the best dentist. Would 100 per cent recommend.

    Author Image

    Patient

    star prominent blue plain icon

    Amazing experience would highly recommend love my new 😊.

    Author Image

    Patient

    star prominent blue plain icon

    Fantastic and happy with new Smile I will recommend.

    Author Image

    Patient

    star prominent blue plain icon

    Happy with the result and very professional, 10/10 smile 😁.

    Author Image

    Patient

    star prominent blue plain icon

    Dr Khan and his team are excellent. I came with a series of dental matters to be resolved which through Dr Khan’s professional practical and personal approach, all carried out in the most assured, calm, friendly and timely way restored and improved my whole dental wellbeing. I would recommend Dr Khan and his team whole – heartedly at every level.

    Author Image

    Patient

    star prominent blue plain icon

    Was very nervous and embarrassed about my teeth to start with, Dr Khan made me feel at ease, Procedure for new Smile was without pain or problems. Now I have a new Smile and confidence. I will highly recommend.

    Author Image

    Patient

    star prominent blue plain icon

    A lot tricky than I thought it would be to get a new smile with teeth that I am no longer embarrassed by, thank you very much Dr Khan.

    Author Image

    Patient

    star prominent blue plain icon

    Watch our video testimonials

    See what our patients have to say about their journey with us. Their stories reflect the care, commitment, and personalised attention we strive to deliver every day. We take pride in building lasting relationships and creating positive experiences for every individual who walks through our doors.

    View all reviews right white prominent blue arrow right prominent blue white arrow

    Frequently asked questions

    How much does orthodontic treatment cost in Liverpool?

    Costs vary depending on the type of appliance and treatment length. A full estimate is provided after your assessment.

    How long does orthodontic treatment take?

    Most treatments take between 6 months and 2 years, depending on how much movement is needed.

    Are braces or aligners painful?

    You may feel slight pressure when treatment begins, but this usually settles within a few days.

    Can adults have orthodontic treatment?

    Yes. Many adults choose orthodontics to improve both function and appearance.

    Load More right white prominent blue arrow right prominent blue white arrow Back to Treatments right white prominent blue arrow right prominent blue white arrow

    Get in touch

    Treatments

    Treatments - Khan Dental Treatments - Khan Dental

    Transform Your Smile

    Create a stunning smile with advanced cosmetic dentistry.

    right black gray circle arrow right white prominent blue arrow
    Treatments - Khan Dental Treatments - Khan Dental

    Perfectly Aligned Smile

    Straighten your teeth for a confident and flawless look.

    right black gray circle arrow right white prominent blue arrow
    Treatments - Khan Dental Treatments - Khan Dental

    Smile With Confidence

    Bring back function and beauty with lasting dental implants.

    right black gray circle arrow right white prominent blue arrow
    Treatments - Khan Dental Treatments - Khan Dental

    Enhance Your Features

    Refresh your look with subtle, effective facial aesthetics.

    right black gray circle arrow right white prominent blue arrow
    Treatments - Khan Dental Treatments - Khan Dental

    Transform Your Smile

    Create a stunning smile with advanced cosmetic dentistry.

    right black gray circle arrow right white prominent blue arrow
    Treatments - Khan Dental Treatments - Khan Dental

    Perfectly Aligned Smile

    Straighten your teeth for a confident and flawless look.

    right black gray circle arrow right white prominent blue arrow
    Treatments - Khan Dental Treatments - Khan Dental

    Smile With Confidence

    Bring back function and beauty with lasting dental implants.

    right black gray circle arrow right white prominent blue arrow
    Treatments - Khan Dental Treatments - Khan Dental

    Enhance Your Features

    Refresh your look with subtle, effective facial aesthetics.

    right black gray circle arrow right white prominent blue arrow

    Schedule a Consultation

    Schedule a consultation to begin your smile transformation. Our team will assess your needs and create a personalised plan just for you.

    Call Us 0151 724 1888 right white prominent blue arrow right prominent blue white arrow Book a Consultation right prominent blue white arrow right white prominent blue arrow
    4.5
    Google-review